審美セラミック治療(セラミック矯正あり)

[浜松町院]03-5422-1291

[蒲田院]03-6715-8481

WEB予約 無料相談
キービジュアル
無料相談に対応

1万本以上の実績
最短2回の来院
削らない
ラミネートべニア(9万円+税

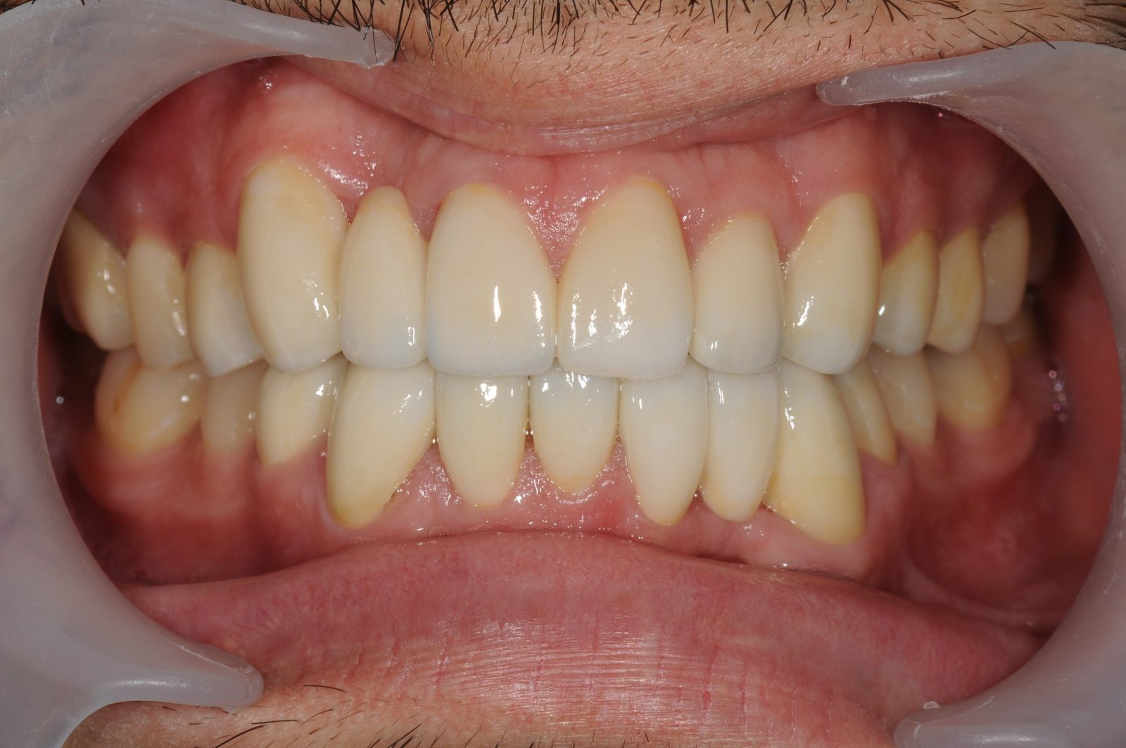
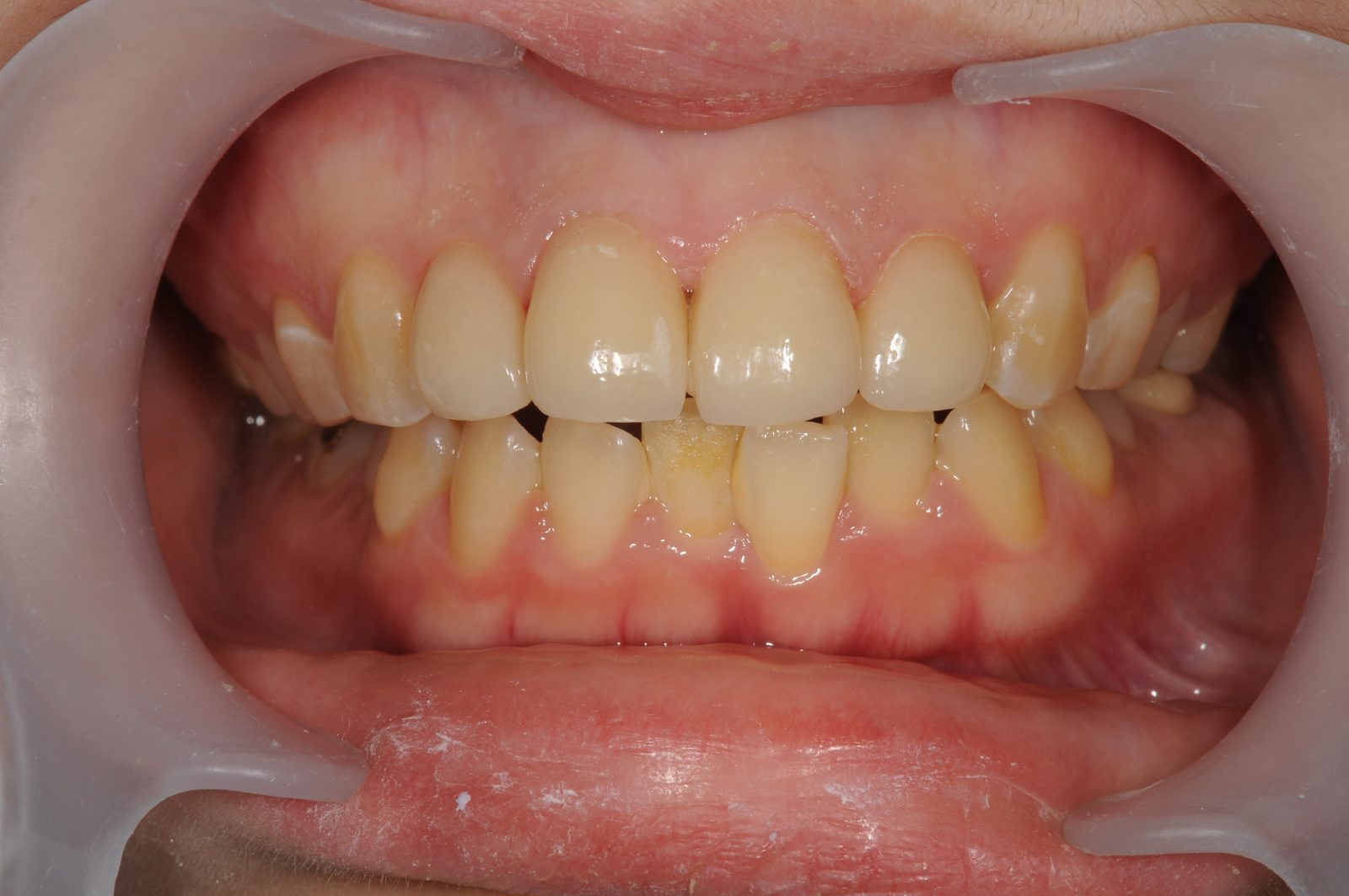
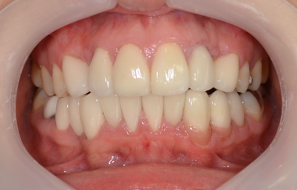
  • 治療前
  • 治療後
  • 治療前
  • 治療後
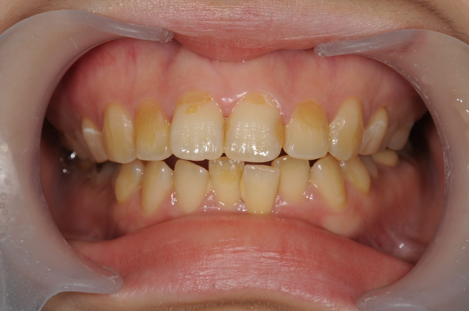
  • 治療前
  • 治療後
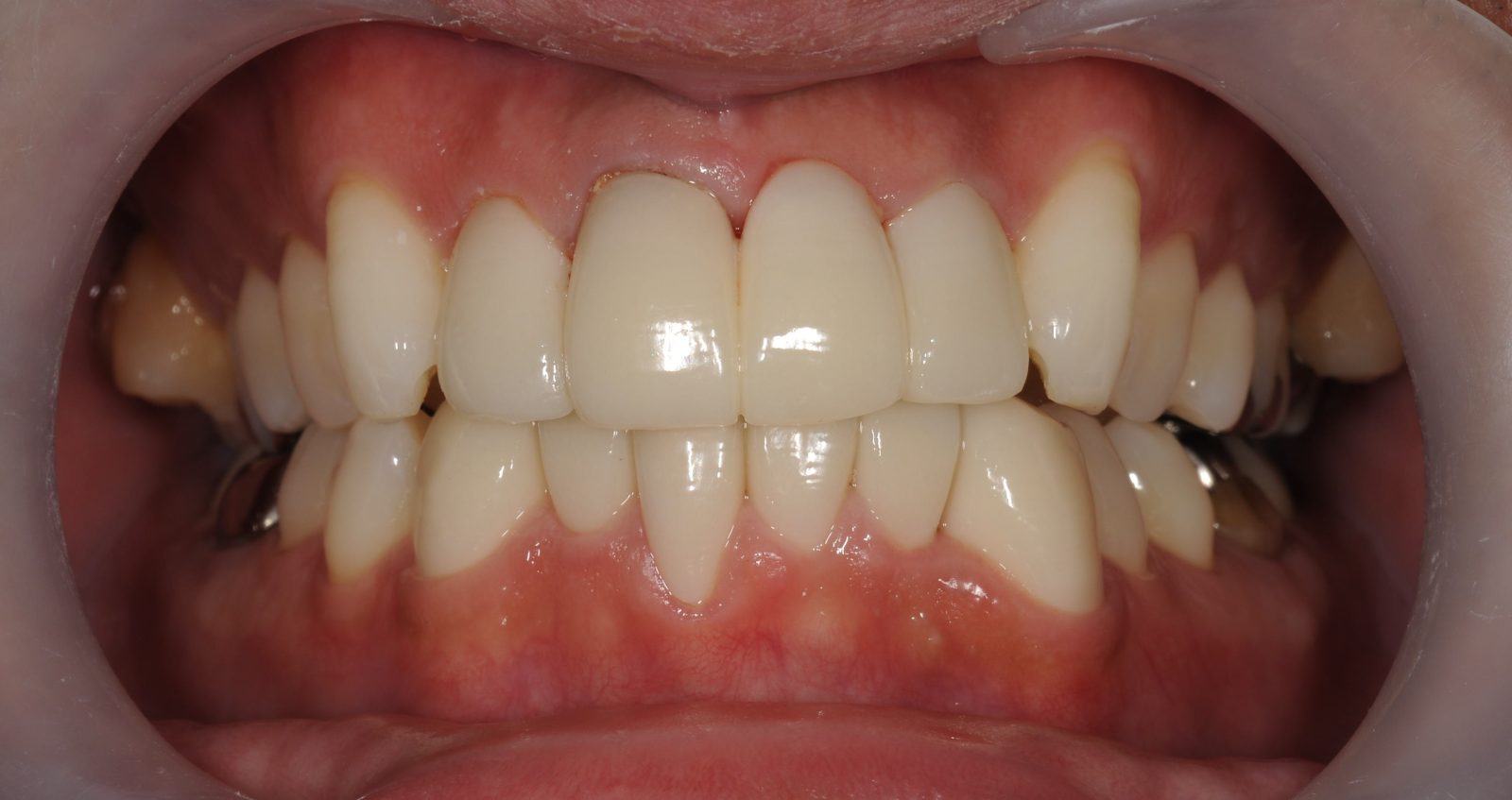
  • 治療前
  • 治療後
  • 治療前
  • 治療後

削らない「ラミネートべニア」。セラミック矯正にも対応

セラミック治療は見た目を美しく整える治療ですが、通常はそのセラミックを被せるために歯を削る必要があります。そこで、歯をできるだけ削らずに見た目を整える方法として生まれたのが「ラミネートべニア法」です。歯の表面を薄く整えて、セラミック製の薄い板(ベニア)を貼り付ける方法です。

しかし、それでも「少しは削る必要がある」という点が残っていました。そこでさらに進化したのが、「ノンプレップラミネートべニア」です。これは、歯を削らずに、薄いセラミックを表面に貼り付ける治療。歯にほとんど負担をかけず、自然で美しい仕上がりを実現できます。

※ケースによっては削ることもあります。

【ノンプレップラミネートべニアの主なメリット】
✅ 歯を削らずに治療できる
✅ 神経を守り、歯へのダメージを最小限にできる
✅歯並びも同時に整えられる

【価格】
1本:9万円+税

適用できるケースは限られますが、歯に優しく、長期的に安定するノンプレップラミネートべニア法はどの医院でもできることではありません。まずはご相談ください。
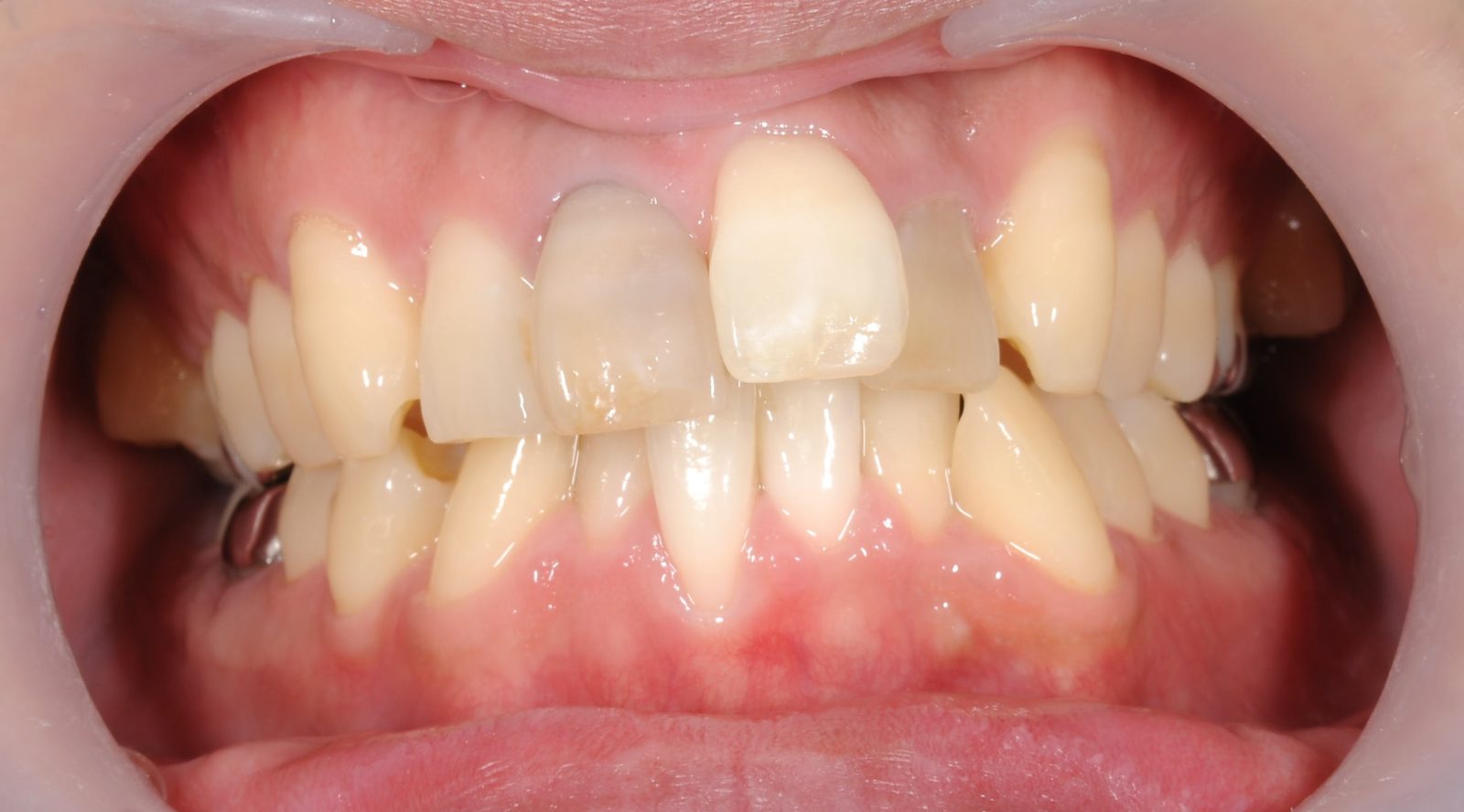
  • 治療前
  • 治療後
  • 治療前
  • 治療後
  • 治療前
  • 治療後
  • 治療前
  • 治療後

歯科医院選びは、慎重に!将来後悔しないために

セラミック治療は、美しいお口元を作る治療です。しかし、歯は、単に美しくすればいいというものではありません。美しさをいかに長期的に安定させるかもとても大切になります。それも健康的に。

当院には、過去、他院にてセラミック治療を行ったが、次の理由で再治療を求める患者さんが多く来院されます。

✅セラミックの被せ物が取れてしまった
✅被せ物が割れてしまった
✅治療した部分が虫歯になった
✅治療後、噛み合わせがおかしくなった
✅治療後、顎関節症や不定愁訴(頭痛、肩こり)が発症した

これらは「噛み合わせの不調和」が原因です。
せっかく高い費用と時間をかけて綺麗な歯にしたのに、数年後、治療のやり直しになるのは、本当にもったいないです。

治療費が安いからという理由で医院を決めるのではなく、長期的に美を安定させる治療を行っている医院を選択されることを強くお勧めします。

それでは当院のセラミック治療で大切にしていることをご紹介します。

美の長期安定のため「噛み合わせ」最重要視

噛み合わせが悪いと何が起きると思いますか?
噛み合わせが悪いと、「どこかの一部の歯に過度な負担」がかかります。その負荷が継続的にかかることで、先ほどお伝えした通り、「被せ物が割れる・とれる」「ずれた被せ物から虫歯菌が侵入し被せ物内部で虫歯が進行する」「顎関節症になる」等の問題が発症します。また、噛み合わせがおかしくなると、全身のバランスにも不調をきたし、不定愁訴の問題も発症します。

もちろん多くの歯科医師は、噛み合わせを考えながら治療を行っていますが、その精度は担当医によって大きな差があり、噛み合わせをしっかり調整できるドクターは日本でもごく少数というのが現状です。

なぜ、噛み合わせをしっかり調整できるドクターが少ないのか?それは、日本の歯科大学で噛み合わせを専門的に教えていないためです。

当院は「噛み合わせ専門」の歯科医院です。詳細はドクター初回ページをご確認いただきたいのですが、すべての歯科治療で噛み合わせを根底に置いた治療を行います。簡単にどのようなことを実施しているのかをご紹介します。これらを行うことで、長期的に安定するセラミック治療が可能になります(すべてを実施するわけではありません)。

デジタル式顎運動計測装置

デジタル式顎運動計測装置(アルクスディグマ)とは顎関節の位置、上下の咬み合わせの状態を超音波にて三次元的に顎の運動を測定できる装置です。主に顎関節治療、咬み合わせ治療、矯正治療に使われます。顎が痛い、噛んだ感じが変、噛む位置がわからないなど全体的な歯科治療に特に必要となります。

姿勢検査

噛み合わせのずれは、体全体のバランスの崩れにつながることがあります。噛み合わせがずれると、頭の位置も傾き、それを支えるために姿勢がゆがんでしまうためです。実際の写真を見ていただくと、体の中心や肩、腰、背骨のずれがよくわかります。

顎関節診断表

顎関節運動の計測・開口量・顎関節運動測定を行います。異音の有無・咀嚼筋の痛みなどを確認し、異常がないかを確認します。

取り組み② 患者さんが理想とするイメージのすり合わせ

患者さんの理想と私たちと明確に共有するため、各治療工程で、患者さんとのイメージのすり合わせを行います。

治療開始前にご希望を伺います

治療前のカウンセリングで、患者さんが理想とする歯のイメージを詳しく伺います。歯の色のサンプルや模型を参考にしながら、具体的なイメージを共有します。

模型で具体的なイメージを確認

患者さんの歯形を取り、模型を作製します。模型を使って、歯の形や配置の具体的なイメージを確認します。歯の形が出来たら、次は仮歯を作り、お口に合わせて調整をしていきます。

最終形態を仮歯で確認

治療の最終工程では、仮歯を製作して実際に装着していただきます。歯の色や形に関して、患者さんが納得するまで細かく調整を行います。

取り組み③客観的な「美」の追求

「美」とは、主観的な美と客観的な美に分かれます。主観的な美とは「患者さんがイメージする美」。これは、患者さんとの密なコミュニケーションで確認します。

客観的な美とは「誰が見ても美しいと思える美」です。
この2つを融合させることが、私たちの仕事です。

では、客観的な確立された「美」とはどのようなものなのかをご紹介します。

Point1唇と歯の関係(Lip to Tooth Relationship)

笑ったとき、下唇のアーチと歯並びのアーチを一致させることで、口元の美しさを際立てることができます。
山崎長郎著『エステティック クラシフィケーションズ(クインテッセンス出版)』より引用

Point2ゴールデンプロポーション(Golden Proportion)

「中切歯(1.618)」:「側切歯(1)」:「犬歯(0.618)」の配列にすることで、前歯の審美性が格段と向上します。
山崎長郎著『エステティック クラシフィケーションズ(クインテッセンス出版)』より引用

Point3正中線と歯並びのバランス(Median line)

正中線とは、顔の真ん中のラインのことです。上の前歯の中心ラインを正中線に合わせると、全体的にバランスが取れた歯並びになります。

Point4生物的幅径(Biological width diameter)

口元の美しさには「歯茎」も重要な役割を担っています。当院では歯茎の生物学的幅径に考慮した、適合性の良い被せ物を製作しています。

コラム「ホワイトニング」にも対応

当院ではホワイトニングにも対応しています。

歯科医院で行う「オフィスホワイトニング」。ご自宅で行う「ホームホワイトニング」があります。

オフィスホワイトニングは「オパールエッセンス」と呼ばれる商品を利用しております。ホームホワイトニングは「TiON(ティオン)」と呼ばれる商品を利用しています。

どちらのメーカーも歯科医師から高い評価を受けているものですので、安心してご利用いただけます。

自由診療に関する表記

本ページでご紹介しているホワイトニング・セラミック治療などは自由診療です。
健康保険は適用されません。

費用

使用する材料・本数・治療範囲などにより費用が異なります。
事前のカウンセリングで、治療内容と費用の目安をご説明いたします。

リスク・副作用について

  • ホワイトニングでは一時的な知覚過敏や痛みが出る場合があります。
  • セラミック治療では、過度な力が加わると破折する可能性があります。
  • 歯を削る必要があり、治療後にしみる症状が出る場合があります。
  • 治療結果には個人差があります。

当院の「こだわりの治療体制」のご紹介

他院で「ダメ」と言われても、まだ諦めないで!

なぜ、他院では下記のように言われてしまうことがあるのでしょうか?
  • もう抜歯しかない・・・
  • 当院では治療できない・・・
それは「問題の原因が把握できていない」からです。もちろん、当院でも対応できないケースはありますが、他院で対応できないと言われたケースでも、改善できたケースは多くあります。
特に「噛み合わせ」や「全身のバランス」に関係している問題は、多くの医院で専門的な診断や治療は対応できません。専門的なトレーニングを受けていないためです

当院ではケースによっては様々な検査機器を活用し、原因究明し、適切な治療法を選択します。

初診「個別」相談へのご案内

当院では、患者さんが抱えていらっしゃるお口のお悩みや疑問・不安などにお応えする機会を設けております。どんなことでも構いませんので、私たちにお話ししていただけたらと思います。
ご興味がある方は下記からお問い合わせください。

浜松町歯科・矯正治療院

03-5422-1291

〒105-0022
東京都港区海岸1-10-30
アトレ竹芝タワー棟3階
JR「浜松町駅」より徒歩9分

松木歯科医院

03-6715-8481

〒144-0052
東京都大田区蒲田5-48-10
ハイライフ蒲田102
JR蒲田駅より徒歩5分